Mundo

Novedosa terapia muestra eficacia contra cáncer en niños

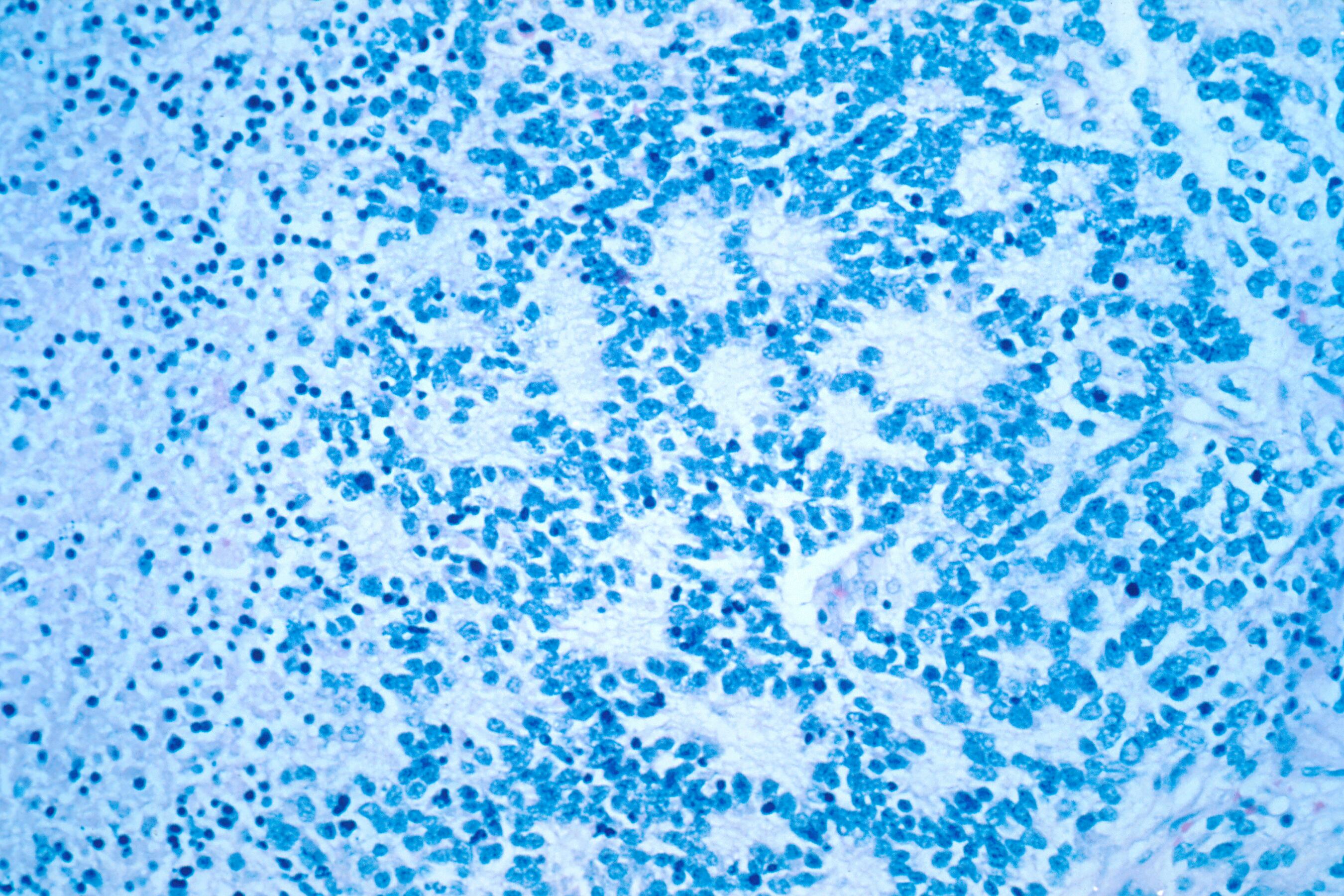
Esta fotografía de diciembre de 1993, tomada con un microscopio electrónico y facilitada por el Instituto Nacional del Cáncer de Estados Unidos muestra un neuroblastoma típico con formación de rosetas. (Dr. Maria Tsokos/Instituto Nacional del Cáncer AP (Maria Tsokos/AP)

Un novedoso tratamiento con células inmunitarias supercargadas parece funcionar contra los tumores en niños con cierto tipo de cáncer, reportaron investigadores el miércoles.

Nueve de 27 niños en un estudio italiano no tenían rastros de cáncer seis semanas después del tratamiento, aunque dos recayeron después y fallecieron.

La llamada terapia de células T con receptores quiméricos de antígenos (o terapia de células T con CAR) ya se utiliza para ayudar al sistema inmunitario a combatir la leucemia y otros cánceres de la sangre. Se trata de la primera vez que investigadores consiguen resultados tan alentadores en tumores sólidos, dijeron expertos, y aumenta la esperanza de que la terapia pueda utilizarse contra cánceres de otro tipo.

Es demasiado pronto para considerar al tratamiento como una cura para el neuroblastoma, un cáncer en el tejido nervioso que a menudo comienza durante la infancia en las glándulas suprarrenales y en el abdomen.

El tratamiento ordinario puede ser muy severo: quimioterapia, cirugía y radiación, dependiendo de la etapa del cáncer y otros factores. Los niños en el estudio tenían cánceres que habían regresado o eran particularmente difíciles de tratar.

Once de los niños estaban vivos cuando concluyó el estudio al cabo de tres años, entre ellos algunos que reaccionaron parcialmente a la terapia y les aplicaron repetidas dosis de células modificadas.

“Todos esos niños estaban destinados a morir sin el tratamiento", dijo el doctor Carl June, de la Universidad de Pensilvania, precursor en la terapia de células T con CAR pero que no participó en la nueva investigación.

“Nadie había tenido antes pacientes que respondieran de esta forma, así que no sabemos dónde se estará dentro de una década”, comentó June. “Con seguridad habrá más pruebas basadas en estos emocionantes resultados”.

La terapia de células T con CAR aprovecha el sistema inmunitario para crear “medicamentos vivientes” capaces de buscar y destruir los tumores. Las células T se recolectan de la sangre del enfermo, se les refuerza en el laboratorio y después se regresan vía intravenosa al paciente, en cuyo organismo continúan multiplicándose.

La Administración de Alimentos y Medicamentos de Estados Unidos (FAA por sus siglas en inglés) ha aprobado seis terapias de células T con CAR para cánceres de la sangre. Algunos pacientes se han curado. Pero no se ha tenido éxito en tumores sólidos.

El estudio más reciente fue realizado por investigadores del hospital pediátrico Niño Jesús, del Vaticano, en Roma.

“Al parecer encontraron una combinación única” para lograr que las células modificadas se multipliquen al inicio y después duren lo suficiente para continuar su labor de eliminar al cáncer, dijo el doctor Robbie Majzner, de la Escuela de Medicina de la Universidad de Stanford, que no participó en el nuevo estudio.

El doctor Franco Locatelli, coautor del estudio, dijo que los expertos también incluyeron un mecanismo de seguridad para eliminar las células en caso de una reacción severa en el enfermo. Cuando un paciente presentó problemas, activaron y mostraron el funcionamiento del mecanismo de seguridad, aunque después determinaron que el problema del paciente se debió a una hemorragia cerebral ajena a las células T con CAR.

Muchos niños tuvieron un efecto secundario común en la terapia de células T con CAR, una reacción inmunitaria llamada “tormenta de citocinas”. Puede tener niveles graves pero fue leve en la mayoría de los casos, informaron los investigadores.

Concluyeron que la terapia de células T con CAR era “factible y segura para tratar el neuroblastoma”. ___ El Departamento de Salud y Ciencia de The Associated Press recibe apoyo del Grupo de Medios de Ciencia y Educativos del Instituto Médico Howard Hughes. La AP es la única responsable del contenido.

Lo Último