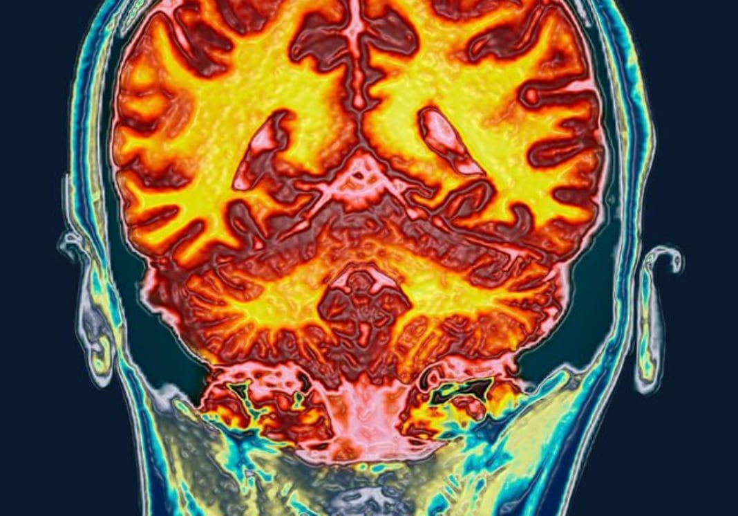
Aunque desde el año pasado un grupo de investigadores de la Universidad de California estudian la manera en la que el cerebro se ve afectado durante el ciclo menstrual, una nueva imagen muestran cómo el grosor de ciertas regiones se expanden durante el periodo.
Las fotografía, compartida por la revista National Geographic, evidencia el impacto sobre el cerebro, no solo desde su morfología, además su arquitectura funcional.
“Mediante estos estudios ahora tenemos una idea clara de cuán potentes son estas hormonas para moldear la arquitectura funcional”, puntualizó Emily Jacobs, neurocientífica de la Universidad de California, Santa Bárbara.
Los estudios del 2024 demostraban que el volumen de ciertas regiones cambiaban en respuesta al estrógeno, sin embargo, había una carencia en los datos sobre alteraciones en la estructura. Esto hoy es aclarado por los investigadores.
Lee también: Farmacéuticos advierten sobre riesgo de mezclar el consumo de alcohol con medicamentos
National Geographic adelantó que, las recientes resonancias magnéticas de cerebro femeninos recibidas por esto, muestran que la subida y bajada de las hormonas sexuales durante el ciclo menstrual modifica drásticamente la estructura del cerebro.
Se sabe que la mujer experimenta casi 450 ciclos menstruales a lo largo de 30 a 40 años. Y que, por ejemplo, el síndrome premenstrual o PMS, provoca en algunas personas irritabilidad, dolores de cabeza y cansancio.
Mientras que, el trastorno disfórico premenstrual detona ansiedad, depresión fuerte o cambios de humor y alteraciones en el cortisol y la higiene del sueño. Inclusive, pensamientos suicidas. Es mucho más más probable que ocurran durante la segunda mitad del ciclo menstrual, detalla el estudio The menstrual cycle, sleep, and circadian rhythms.
Siendo una enfermedad crónica y grave, las personas deben acudir a profesionales de la salud mental, en combinación con fármacos como antidepresivos.
La literatura también precisa que personas diagnosticadas con ansiedad o trastornos por abuso de sustancias son más propensas a experimentar ciclos menstruales irregulares, pudiendo detonar depresión, estrés y hasta trastornos de la conducta alimentaria.
